重症ニキビ(難治性ざ瘡)に対する
イソトレチノイン内服治療
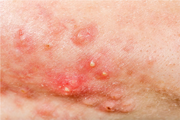
- こんな症状に
-
- 最重症ニキビ
- 保険治療をしていても
コントロール不良 - ニキビ跡ができやすい
- ニキビによって
人の目線が気になったり
落ち込んだりと
生活に支障の出ている - 体に広範囲のニキビ
保険診療で治らない重症ニキビ(難治性ざ瘡)でお悩みの方へ
イソトレチノイン内服治療とは


ニキビは重症になると、その人のライフスタイルに影響が出るなど深刻な疾患です。
ニキビは保険診療で処方される外用薬や内服薬が有効ですが、それだけではコントロールがつかず、繰り返してしまう方もいます。
炎症を伴うニキビが何度も再発する、保険診療の外用薬や内服抗菌薬では十分な改善が得られない――そのような重症ニキビ(重症尋常性ざ瘡)に対して、近年注目されている治療がイソトレチノイン内服治療です。

イソトレチノイン内服治療は、重症ニキビの方に有効とされていますが、その副作用や安全管理の観点から国内未承認の医薬品です。
イソトレチノインはビタミンA(レチノール)のα活性型(レチノイン酸)の一種で皮脂腺を収縮させ、角質による毛穴のつまりを改善します。
主な作用
- 皮脂分泌を大幅に抑制
- 毛穴の詰まり(角化異常)を改善
- アクネ菌の増殖を抑える
- 強い抗炎症作用
これらの作用により、ニキビができにくい肌環境そのものを作り直すことが可能です。
どんなニキビが対象?
(イソトレチノイン内服治療の適応)
以下のような方が治療対象となります。
- 炎症性ニキビが多発している
- 顔・背中・胸など広範囲にニキビがある
- 繰り返し再発するニキビ
- ニキビ跡(瘢痕)ができ始めている
- 保険診療で十分な効果が得られなかった
※軽症ニキビの方には原則として適応となりません。
重症ニキビ(大人ニキビ・背中ニキビ)は早期治療が重要です
重症ニキビを放置すると、ニキビ跡として一生残る可能性があります。
「本当に治したい」「もう繰り返したくない」
そうお考えの方は、一度ご相談ください。
治療について
- 【処方について】
-
- 当院では別添のイソトレチノイン(アクネトレント®)の取扱説明書を熟読していただき内容を十分に理解できる18歳以上の方のみに処方しております。(12~17歳の方は医師と保護者様との相談の上処方になります。)
- 服用量は重症度や体重により異なります。1回の治療期間は4~6か月程度です。
- 内服前・内服後1ヶ月、その後3ヶ月毎に採血検査を必須としております。
- 【副作用について】
-
- 治療開始後一時的にニキビが増悪することがあります。
- 皮膚や粘膜の乾燥(唇の荒れ、ドライアイなど)
- 肝機能低下、膵炎、脂質異常症など
- 脱毛、皮膚の痒み、体の痛み、頭痛、めまい、吐き気・嘔吐、眼疾患(結膜炎など)
- アナフィラキシーショック、薬疹、炎症性腸疾患、精神疾患(うつ、自殺企図など)、胎児の催奇形性
- 【併用禁忌】
- テトラサイクリン系抗生剤、副腎皮質ステロイド、ビタミンA製剤、メトトレキサート等
よくあるご質問(イソトレチノイン内服)
- 保険は使えますか?
- 日本では保険適用外のため、自費診療となります。
- どのくらいで効果が出ますか?
- 個人差はありますが、1〜2か月で改善を感じる方が多いです。
- 再発はしますか?
- 多くの方で長期的な改善が期待できますが、個人差がございます。完全にゼロになるとは限りません。
ニキビ治療についての外部リンク
-
日本皮膚科学会より診療ガイドラインが公開されており、重症度に応じた治療選択が推奨されています。
当院でも、これらのガイドラインを参考にしながら、患者様一人ひとりの症状や生活背景に合わせた治療をご提案しています。▶日本皮膚科学会「尋常性痤瘡・酒皶治療ガイドライン」
(https://minds.jcqhc.or.jp/summary/c00827/) -
ニキビは「思春期の一時的な症状」と思われがちですが、重症化するとニキビ跡として残る可能性があります。
日本皮膚科学会でも、早期からの適切な治療の重要性が示されています。▶日本皮膚科学会 皮膚科Q&A「にきび」
(https://qa.dermatol.or.jp/qa3/q13.html) -
イソトレチノインは、海外では重症ニキビ治療の標準的な選択肢として使用されていますが、日本では未承認薬に分類されています。
そのため、厚生労働省からも薬剤に関する注意喚起が公表されており、医師の管理下で適切に使用することが重要とされています。▶ 厚生労働省「未承認の難治性ニキビ治療薬に関する注意喚起」
(https://www.mhlw.go.jp/topics/bukyoku/iyaku/kojinyunyu/050609-1b.html)
料金について
※税込価格
| 採血代 | 1回につき (治療前と1ヶ月後、その後は3ヶ月毎に) |
¥5,500 |
|---|---|---|
| イソトレチノイン (アクネトレント®) (容量目安0.5mg/体重kg/日) |
20mg 30日分 | ¥16,700 |
| 40mg 30日分 | ¥33,400 | |
| その他 | 初診料 | ¥3,300 |
| 再診料 | ¥1,100 |
- 各種クレジットカードが利用できます
- 一括払い・11,000円以上の場合のみご利用可能です。詳細はこちら



